Teeth Whitening - KOR- BriteSmile - Kansas City Dentist - Overland Park Dentist

KoR WHITENING DEEP BLEACHING

NEW HOPE FOR THE MOST DIFFICULT CASES

KoR Whitening Deep Bleaching is the answer to all those frustrating teeth whitening issues. With this procedure we have figured out how to achieve permanent incredible whitening success with every single patient and how to do it with very low or no sensitivity.

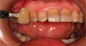
KoR Whitening Deep Bleaching was developed by Dr. Rod Kurthy with the goal of being able to whiten even the most hard to whiten teeth. Teeth having a grayish color and labeled as Tetracycline stained teeth, showing enamel damage, can now be whitened with the KoR Whitening Deep Bleaching system.

Tetracycline stains can be successfully whitened�giving people living with grayish tooth shades a new outlook on life.


Tetracycline based medications were a popular antibiotic in the past. The medication was first patented and widely used in 1950. When first implemented in treatments for children, the developmental impact on tooth enamel formation was not fully understood. Tetracycline medications were discovered to disrupt the process of amelogenesis the foundation of enamel on teeth that occurs during the crown stage of tooth development. Now people who are living with tetracycline stains can dramatically improve their smile and have remarkable whitening results.

KoR Whitening Deep Bleaching is revolutionizing the entire world of teeth whitening and it is available for everyone whose desire it is to have sensational results.

FROM SO-S0 TO SENSATIONAL
BEFORE


KoR Whitening Deep Bleaching is not only for tetracycline stained teeth. It is the procedure of choice for those who want to achieve exceptional whitening effectiveness, from older people, to people too embarrassed to smile. It is for everyone, addressing their individual unique whitening needs.

We are excited to be able to give our patients outstanding permanent whitening results which have never been easier and more predictable.

Our complimentary whitening coaches can be reached anytime during the daytime as well as nighttime, should you have any questions or concerns during the whitening process.


AFTER
If you are serious about teeth whitening please give us a call. We have completed the research, tested the products for you and are ready to share with you what we have learned.



Click on the Evolve logo to learn more about KoR Whitening and this cutting edge technology made available by Evolve Dental Technologies.




 
phone: 913.345.2929 Protect & Enhance All your Smile Needs at One Location!