THE ONLY LIGHT ACTIVATED PROCEDURE TO CONSIDER
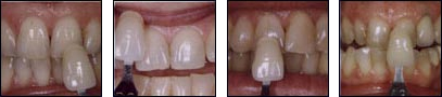
Parkway Plaza Dental is one of the exclusive offices in Kansas City offering the BriteSmile technique. BriteSmile is often thought of as �instant teeth whitening�. It is for people who want results quickly and is often the procedure of choice for exteme makeovers.
The BriteSmile gas plasma light technology, combined with a proprietary new, wavelength-specific gentle bleaching gel, has created a revolutionary method of teeth whitening which quickly, safely and effectively whitens all teeth at once.
Whitening results�.Not in 3 months, not in 3 weeks, in one hour�.by tonight. |
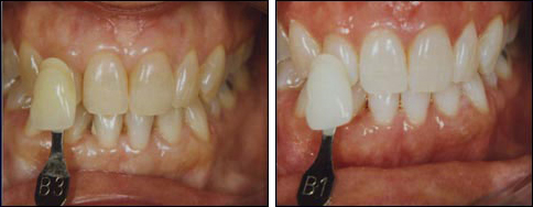
Now you have the chance to remove years of stain and
yellowing comfortably and quickly during your lunch hour with astonishing results. BriteSmile�s patented aftercare products are great for maintaining the results you achieve with any teeth whitening procedure.
The popular one hour whitening procedure is a great way to get ready for that special wedding day or any occasion when your smile is going to be the center of attention.
SIMPLYWHITEBYTONIGHT.COM
The popularity and demand for Lumineers by Cerinate and teeth whitening has caused them to be two of the most requested cosmetic procedures.
To keep our smiles great looking, white and healthy has become as routine as a professional teeth cleaning. |
Our simplywhitebytonight.com site is an exclusive site just about Lumineers by Cerinate & Teeth Whitening, the research, the procedures, the well-tested products and the results.
Click on these logos to learm more about Lumineers and whitening:
Lumineers by Cerinate
KoR Whitening Deep Bleaching/Evolve Max Whitening/Britesmile
